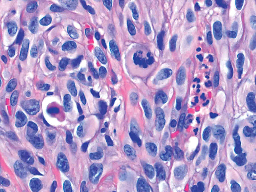
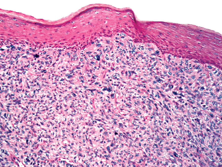
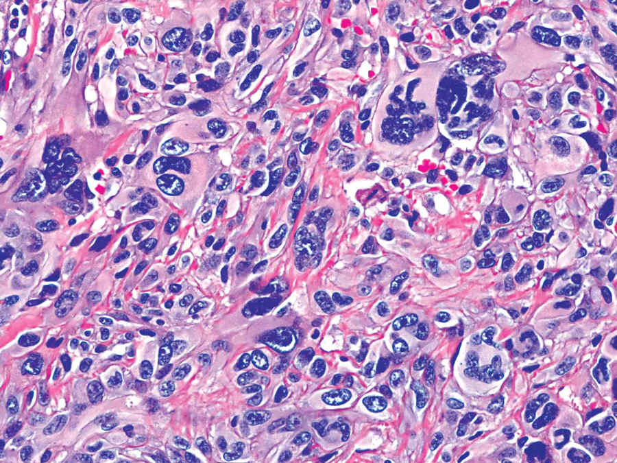
Case #3

Discussant: Dr. Wick

81 year old man with a 2 cm red nodule in the skin of the face.

 

 

 

 

Next case